ホワイトニング
whitening
whitening
あこがれのより白く美しい歯のホワイトニングで手に入れませんか。白い歯並びできれいで健康的な口元を演出しましょう。変色の原因によっては、ホワイトニング処置だけでは対応できない場合がございます。※
当院では歯の変色の原因をしっかり診させていただいた上で、効果的なホワイトニングの処置をご提案させていただきます。


エクセレントホワイトニングコース:30,000円(旧価格)
ホワイトニングは薬剤の力により歯を漂白する処置ですが、決して万能ではありません。当院にて、処置の適応を見極めた上で、白く美しい歯を手に入れるお手伝いをさせていただきます。当院のホワイトニングは、「オフィスホワイトニング」「ホームホワイトニング」の2種類を用意しています。
オフィスホワイトニングとは、歯科医院にて1日でホワイトニングを行う方法です。
薬剤を歯面に何度か塗りつづける方法と、薬剤を歯面に塗布した状態で、一定の波長に調整された強い光を照射することで薬剤を活性化させホワイトニング効果を得る方法があります。ホームホワイトニングに比べ強力な薬剤を用いるため、すぐに効果を実感できます。

ホームホワイトニングとは、ご自宅で、ご自身でホワイトニングをしていただく方法です。お好きな時に少しずつご自身のペースでホワイトニングができます。
患者様の歯にあった専用のトレー(カスタムトレー)に薬剤を注入し、そのトレーをはめることでホワイトニング効果を得ます。
ご自身で行っていただくため、薬剤は病院で使用するものよりは、安全性を考慮したマイルドな薬剤を用います。そのため劇的な変化というよりは、徐々に白くなっていくといったイメージを持っていただくとよいかと思います。
効果には個人差がありますが、1~2週間で白さを実感できます。
歯の色が気になる、白く美しい歯が手に入れたいなど、ホワイトニングに興味のある方は是非当院にご相談ください。歯の状態を確認し、ホワイトニングのプランや間隔を提案いたします。また、ホワイトニング後の定期的なメインテナンスも重視しておりますので、処置後も安心して通院していただけます。
横浜桜木町歯科では無料のカウンセリングを行っております。現在の口腔内の健康状態を確認、ホームホワイトニングやオフィスホワイトニングの説明のほか、治療費用やスケジュールのご説明を致します。
※下記に当てはまる方は、ホワイトニングの施術をお断りさせていただいております。
ホワイトニングを受けられる方が18歳未満の場合、保護者の方にご同意を頂いた上で施術させていただいております。下記同意書にご記入いただきご持参ください。
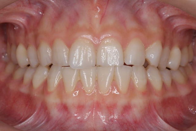
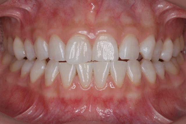
横浜桜木町歯科で治療を行ったホワイトニングの事例を紹介いたします。